Обязательно посетите своего стоматолога при обнаружении следующих признаков:
- Припухшие гиперемированные дёсны.
- Неприятный запах изо рта.
- Повышенная чувствительность зубов.
- Обнажена поверхность зубов, рыхлые дёсны не плотно прилегают к зубам.
- Появление следов крови при чистке зубов или при использовании флосса (здоровые дёсны никогда не кровоточат и не вызывают болезненных ощущений).
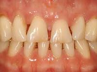
Здоровые дёсны
- Здоровые дёсны имеют розовый цвет.
- Дёсны плотно охватывают шейку зуба.
- При чистке зубов и использовании различных гигиенических приспособлений кровоточивость дёсен отсутствует.
Гингивит
- Гиперемированные дёсны.
- Отёкшие сосочки дёсен.
- Кровоточивость во время гигиенических процедур и приёма твёрдой пищи.
Пародонтит
- Дёсны красного цвета.
- Дёсны периодически кровоточат. При проведении гигиенических процедур и во время приёма некоторых видов пищи кровоточивость усиливается.
- Обильные отложения белого или желтого зубного налёта вдоль линии десны.
- Неприятный запах изо рта.
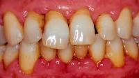
Прогрессирующий пародонтит
- Гиперемированные дёсны.
- Там где десна отошла от зубной поверхности, зубы стали очень длинными.
- Линия дёсен стала заметно ниже.
- Отмечается болезненность и кровоточивость дёсен без причины.
- Образовались десневые карманы и зубы стали подвижными.
- Постоянно ощущается дискомфорт и гнилостный запах изо рта.
Если у Вас есть подобные жалобы и симптомы, постарайтесь как можно быстрее обратиться к стоматологу.
